Cứu bệnh nhi bị dị dạng mạch máu não kèm bệnh cơ tim xốp hiếm gặp
Cập nhật: 2 giờ trước
Bão số 13 gây gió giật cấp 17, sóng cao 11m, mưa đặc biệt lớn tại miền Trung
Xem xét cho xe ô tô con loại từ 7 chỗ trở xuống lưu thông qua cầu sông Lô
VOV.VN - Bệnh viện Nhi Đồng 1 TP.HCM vừa cứu sống một bệnh nhi 13 tuổi trong tình trạng hôn mê sâu do vỡ dị dạng mạch máu não, biến chứng sốc tim trên nền bệnh cơ tim xốp hiếm gặp. Ca bệnh được xử trí kịp thời nhờ sự phối hợp khẩn cấp của nhiều chuyên khoa.
Trước đó, ngày 5/10, Bệnh viện Nhi Đồng 1 tiếp nhận bệnh nhi H.T.T.T (13 tuổi, chuyển từ Bệnh viện Hóc Môn) trong tình trạng hôn mê sâu, thở máy qua nội khí quản, huyết áp thấp và rối loạn nhịp.
Gia đình kể, bé đang ngủ thì đột ngột thở ngược, mất ý thức và được đưa đến bệnh viện tuyến trước với chẩn đoán nghi xuất huyết não kèm sốc tim.
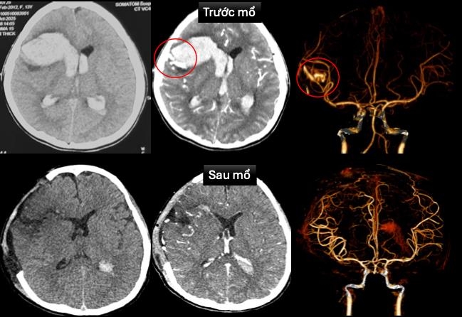
Tại Bệnh viện Nhi Đồng 1, bệnh nhi được tiến hành siêu âm tim và chụp cắt lớp vi tính dựng hình mạch máu não cấp cứu. Kết quả cho thấy bé bị dị dạng động tĩnh mạch vùng trán phải vỡ, gây xuất huyết não lan vào hệ thống não thất, đồng thời ghi nhận bệnh cơ tim xốp - một dạng bệnh cơ tim hiếm gặp.
Bệnh viện đã lập hội chẩn đa chuyên khoa gồm cấp cứu, tim mạch can thiệp, ngoại thần kinh và hồi sức ngoại. Bác sĩ tim mạch đặt máy tạo nhịp tạm thời để ổn định nhịp tim. Tiếp đó, ê-kíp ngoại thần kinh thực hiện mở sọ giải áp, vi phẫu cắt bỏ dị dạng mạch máu não và lấy máu tụ trong nhu mô não và não thất.
Sau phẫu thuật, bệnh nhi được hồi sức tích cực, thở máy, dùng thuốc vận mạch và thuốc chống phù não. Tình trạng cải thiện dần, hiện bé đã tỉnh táo, còn yếu nhẹ chân phải. Tim mạch ổn định, máy tạo nhịp đã được rút và ngưng thuốc vận mạch. Hình ảnh CT sau mổ không còn ghi nhận dị dạng mạch máu. Siêu âm tim cho thấy chức năng co bóp cơ tim cải thiện (EF 65%).
Các bác sĩ cho hay, theo y văn, dị dạng động tĩnh mạch não ở trẻ em rất hiếm, chỉ chiếm khoảng 0,01% dân số, nhưng là nguyên nhân hàng đầu gây xuất huyết não tự phát ở trẻ dưới 19 tuổi. Trong khi đó, bệnh cơ tim xốp là bệnh tim bẩm sinh hiếm, có thể gây suy tim hoặc loạn nhịp nguy hiểm. Việc hai bệnh lý hiếm gặp cùng xuất hiện ở một bệnh nhi là cực kỳ hy hữu.
Từ khóa: mạch máu, cơ tim,dị dạng,dị dạng mạch máu ,Bệnh viện Nhi đồng 1,TPHCM ,dị dạng động tĩnh mạch não,bệnh cơ tim xốp
Thể loại: Xã hội
Tác giả: kim dung/vov-tp.hcm
Nguồn tin: VOVVN