Australia phát triển bệnh viện ảo điều trị bệnh nhân Covid-19 tại nhà

Cập nhật: 30/03/2020

VOV.VN - Mô hình bệnh viện ảo đầu tiên điều trị bệnh nhân Covid-19 tại Australia đang được Bệnh viện Armidale chuẩn bị đưa vào sử dụng trong 2 tuần sắp tới.

Trong bối cảnh dịch Covid-19 lan rộng tại Australia, một nhóm các bác sĩ của nước này đã phát triển và chuẩn bị triển khai mô hình bệnh ảo đầu tiên để hỗ trợ điều trị các bệnh nhân mắc Covid-19 tại nhà, góp phần giảm nguy cơ quá tải cho các bệnh viện, đồng thời tăng cường công tác kiểm soát dịch bệnh.

australia phat trien benh vien ao dieu tri benh nhan covid-19 tai nha hinh 1
Ảnh chụp CT phổi người không mắc Covid-19. Ảnh: Detected-X.

Mô hình bệnh viện ảo đầu tiên điều trị bệnh nhân Covid-19 tại Australia đang được các bác sĩ Bệnh viện Armidale chuẩn bị đưa vào sử dụng trong 2 tuần sắp tới.

Mô hình này sẽ được thử nghiệm tại miền Bắc bang New South Wales để giảm quá tải cho các bệnh viện và hạn chế nguy cơ lây nhiễm chéo cho các bệnh nhân. Sau thời gian thử nghiệm nếu đạt kết quả tốt mô hình bệnh viện ứng dụng trí tuệ nhân tạo này có thể sẽ được triển khai trên toàn quốc.

australia phat trien benh vien ao dieu tri benh nhan covid-19 tai nha hinh 2
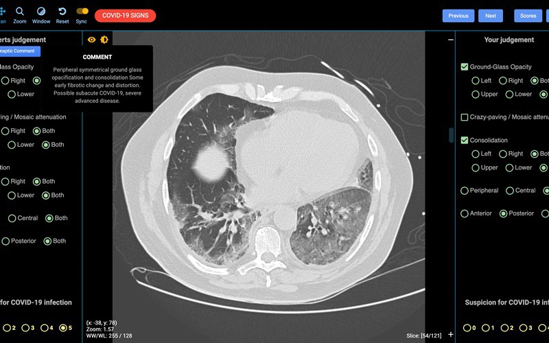
Ảnh chụp CT phổi người mắc Covid-19. Ảnh: Detected-X.

Theo giáo sư Rod McClure, chuyên gia y tế công cộng, Trưởng khoa y tại Đại học New England, khám bệnh từ xa và điều trị các bệnh nhân Covid-19 tại nhà hiện đang là nhu cầu cấp bách. Theo kế hoạch triển khai bệnh viện ảo này, khoảng 200 bệnh nhân có các triệu chứng của Covid-19 ở mức độ vừa phải sẽ được điều trị tại nhà cùng với sự hỗ trợ của các thiết bị theo dõi nhịp tim, nhiệt độ, độ bão hòa oxy, huyết áp và nhịp thở liên tục 24 giờ trong ngày. Qua các dữ liệu theo dõi, các bác sĩ sẽ nhận biết được tình trạng sức khỏe của từng bệnh nhân và những người có sức khỏe chuyển biến xấu sẽ được đưa vào bệnh viện để tiếp tục điều trị. Giáo sư McClure hy vọng mô hình này sau khi thử nghiệm thành công sẽ được chính phủ liên bang tài trợ để nhân rộng trên toàn quốc.

Trong một diễn biến khác có liên quan, ngày hôm nay (30/3), các nhà khoa học tại Đại học Sydney đã giới thiệu công cụ chẩn đoán Covid-19 đầu tiên trên thế giới có tác dụng giúp các bác sĩ nhanh chóng phân loại được bệnh nhân Covid-19. Công cụ có tên CovED mới này sẽ sử dụng hình chụp cắt lớp CT giúp các nhiên viên y tế tuyến đầu phát hiện các ca nhiễm Covid-19 chỉ trong vòng vài phút, nhanh hơn nhiều so với phương pháp xét nghiệm sinh hóa hiện nay.

Theo giáo sư Patrick Brennan, chuyên gia bức xạ y tế của Đại học Sydney, với công cụ chẩn đoán nhanh Covid-19 trên nền tảng trực tuyến này, các bác sĩ không được đào tạo chuyên sâu về chẩn đoán hình ảnh cũng có thể xác định được các bệnh nhân mắc Covid-19, giúp đẩy nhanh tốc độ phát hiện các ca nhiễm, hỗ trợhệ thống chăm sóc y tế đang quá tải và cứu sống được nhiều bệnh nhân./.

Hữu Tiến/VOV-Australia

Từ khóa: Covid-19, SARS-CoV-2, phổi, CT, bệnh viện ảo

Thể loại: Thế giới

Tác giả:

Nguồn tin: VOVVN

Bình luận






Đăng nhập trước khi gửi bình luận Đăng nhập