Cứu sống nam sinh lớp 8 xuất huyết não nguy kịch
Cập nhật: 1 giờ trước
Nắng nóng gay gắt xuất hiện sớm tại Hà Tĩnh, có thể vượt 40 độ C trong mùa hè 2026
Một người tử vong, nhiều người ngạt khói tại nhà máy xay, sấy lúa gạo ở Đồng Tháp
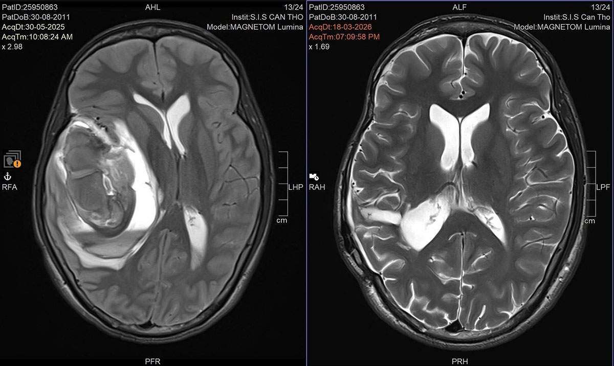
VOV.VN -Bệnh nhân tên N.C.T (14 tuổi) nhập viện tại một bệnh viện ở Cần Thơ trong tình trạng hôn mê cách đây 11 tháng. Khi nhập viện, gia đình cho biết, em T. đang ngồi học thì tự nhiên đau nửa đầu rất dữ dội, lúc đó tay chân vẫn bình thường, chỉ đau đầu.
Cơn đau đầu ấy tưởng chừng vô hại, nhưng đến ngày thứ 5, em T. đang vệ sinh cá nhân để đến trường thì cơn đau đầu xuất hiện dữ dội hơn. Sau đó tay chân trái của em không còn cử động được nữa… rồi em chìm vào hôn mê.
Sau ca mổ,bệnh nhântỉnh lại chỉ sau một đêm.Khoảng một tuần được xuất viện và tập vật lý trị liệu thêm gần ba tuần. Khoảng 1–2 tháng bệnh nhân T. đã có thể đi lại bình thường.
Và một năm qua, hai tay em T. vận động bình thường, trí nhớ ổn định, chân chỉ còn yếu nhẹ, không còn bị những cơn đau đầu như trước nữa. Với tình trạng hồi phục tích cực hiện tại, các bác sĩ đánh giá em hoàn toàn có thể quay lại trườnglớptrong năm học 2026–2027.

Theo các bác sỹ, việc xử lý dị dạng mạch máu não tương tự như loại bỏ một “ổ bệnh” trong não. Nếu không được giải quyết triệt để, nguy cơ tái phát và biến chứng sẽ rất cao. Đáng lưu ý,AVMcó thể tồn tại âm thầm trong thời gian dài, hầu như không có triệu chứng rõ ràng. Vì vậy, phụ huynh cần đặc biệt cảnh giác khi trẻ xuất hiện các dấu hiệu như đau đầu dữ dội, bất thường hoặc kéo dài không rõ nguyên nhân, nhất là khi kèm theo các biểu hiện thần kinh như co giật, yếu tay chân…Trong những trường hợp này, trẻ cần được đưa đến cơ sở y tế có khả năng cấp cứu và can thiệpphẫu thuậtthần kinh kịp thời để không bỏ lỡ “giờ vàng”.
Từ khóa: cứu sống nam sinh, cần thơ, cứu sống nam sinh, nam sinh lớp 8, xuất huyết não nguy kịch
Thể loại: Xã hội
Tác giả: hồng phương/vov-đbscl
Nguồn tin: VOVVN