Nam sinh tổn thương tim, bỏng khắp mặt và tay chân vì tự chế pháo
Cập nhật: 09/01/2023
Ăn tối lúc mấy giờ để tiêu hóa tốt và ngủ ngon?
Xe sơ-mi rơ-moóc chỉ được chạy ban đêm, giảm áp lực giao thông trên Quốc lộ 49
VOV.VN - Thiếu niên 14 tuổi mua thuốc pháo trên mạng, khi đang tự nghiền, chế pháo ở nhà bằng máy xay sinh tố thì bất ngờ pháo phát nổ. Nhiều mảnh kim loại văng vào ngực trái bệnh nhân.
Ngày 9/1, các bác sĩ Bệnh viện Việt Đức (Hà Nội) cho biết vừa phẫu thuật cho nam thiếu niên 14 tuổi, trú tại Bắc Giang, vào viện trong tình trạng bị thương nặng do pháo tự chế phát nổ.
Bệnh nhân là em G.T.B. Thiếu niên này mua thuốc pháo trên mạng, khi đang tự nghiền, chế pháo ở nhà bằng máy xay sinh tố thì bất ngờ pháo phát nổ. Nhiều mảnh kim loại văng vào ngực trái bệnh nhân.
Sau khi được sơ cứu tại bệnh viện tỉnh, em B. được chuyển đến Bệnh viện Việt Đức. PGS.TS Phùng Duy Hồng Sơn, Phó Giám đốc Trung tâm Tim mạch và lồng ngực, cho biết bệnh nhân vào viện trong tình trạng mặt, hai chân, hai tay bỏng.
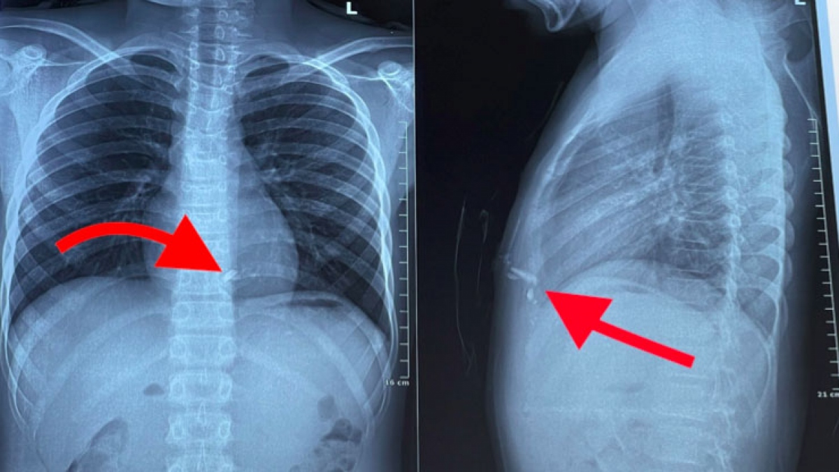
Chụp phim X-quang ngực thấy có 2 dị vật kim loại trong lồng ngực nằm sau xương ức bên trái, nghi ngờ tổn thương tim. Các bác sĩ đã nhanh chóng mổ cấp cứu kịp thời lấy dị vật, khâu vết thương thành thất phải cho bệnh nhân.
Hiện tại bệnh nhân ổn định, tiếp tục được theo dõi và điều trị tại Trung tâm Tim mạch và lồng ngực.
Vào dịp gần Tết, các bệnh viện liên tục ghi nhận sự gia tăng số vụ tai nạn liên quan pháo tự chế. Chỉ một tuần, Khoa Ngoại chấn thương, Bệnh viện Trẻ em Hải Phòng, tiếp nhận liên tiếp 5 bệnh nhân từ 8 tới 14 tuổi bị tai nạn thương tích nặng liên quan đến pháo nổ.
Bệnh viện Trung ương Thái Nguyên tiếp nhận hơn 10 trường hợp là học sinh cấp 2, 3, bị tai nạn do pháo nổ, chỉ trong 2 tuần. Các bệnh nhân nhập viện trong tình trạng bị bỏng hai mắt; dập nát các ngón tay, bàn tay; chấn thương phần mềm trên mặt, cơ thể…
Theo các bác sĩ, tai nạn liên quan đến pháo để lại hậu quả đáng tiếc, có những trường hợp phải chịu thương tổn suốt đời như cụt tay, bỏng nặng ở vùng mặt, mất thị lực…, thậm chí ảnh hưởng đến tính mạng.
Vì vậy, các bác sĩ khuyến cáo người dân cần chấp hành các quy định của pháp luật về quản lý và sử dụng pháo nổ; không tự ý chế tạo thuốc nổ, pháo nổ, gây nguy hại cho bản thân và xã hội. Đồng thời các lực lượng chức năng, nhà trường cần đẩy mạnh công tác tuyên truyền, giáo dục pháp luật nhằm nâng cao nhận thức, hiểu biết về những nguy hại của pháo nổ, thuốc nổ cho người dân, đặc biệt là đối với học sinh./.
Từ khóa: nam sinh tổn thương tim, bỏng khắp mặt, tay chân, tự chế pháo
Thể loại: Xã hội
Tác giả:
Nguồn tin: VOVVN